Schlafstörungen, Tagesmüdigkeit ...

Obstruktive Schlafapnoe (OSAS)

Die Kiefer bilden den knöchernen Rahmen für das Gesicht, wie auch für die oberen Atemwege. Liegt ein Kiefer zurück sind häufig auch die Atemwege eingeengt.

Neben der Beseitigung von OSAS profitieren unsere Patientinnen und Patienten
von der Entlastung der Kiefergelenke (CMD, Kopfschmerzen) und von einer
Harmonisierung der Gesichtsästhetik.

Ausgezeichneter Spezialist Ausgezeichneter Spezialist
Schlafapnoe

Obstruktives Schlafapnoe-Syndrom (OSAS) Was verbirgt sich hinter der Erkrankung?

Das sogenannte obstruktive Schlafapnoe-Syndrom (OSAS) ist eine ernst zu nehmende nächtliche Atemstörung, die mit Atemaussetzern während des Schlafens einhergeht. Apnoe bedeutet im eigentlichen Sinne „Nicht-Atmung“ oder Atemstillstand. Bleibt die obstruktive Schlafapnoe über einen längeren Zeitraum unbehandelt, können schwerwiegende Folgeerkrankungen entstehen.

Dabei sind jedoch 80% der OSAS-Erkrankungen nicht diagnostiziert.1 Die häufigste Ursache einer schlafbezogenen Atemstörung ist eine Verengung des Rachenraums bzw. der oberen Atemwege. Diese resultiert durch einen Zusammenfall der Schlundmuskulatur während des Schlafes, bei dem es wiederholt zur Verringerung oder dem kompletten Aussetzen der Atmung kommt.

Resultierende Gesundheitsrisiken

  • Gewichtszunahme durch Umstellung des Metabolismus
  • Stark erhöhtes Risiko für Diabetes
  • Massive Hypertonie (Bluthochdruck)
  • 3-fach höheres Risiko eines Herzinfarktes2

Dabei sind jedoch 80% der OSAS-Erkrankungen nicht diagnostiziert.1 Die häufigste Ursache einer schlafbezogenen Atemstörung ist eine Verengung des Rachenraums bzw. der oberen Atemwege. Diese resultiert durch einen Zusammenfall der Schlundmuskulatur während des Schlafes, bei dem es wiederholt zur Verringerung oder dem kompletten Aussetzen der Atmung kommt.

  • Stark erhöhtes Risiko für Schlaganfall
  • 6-fach höheres Verkehrsunfallrisiko3
  • Psychischer Leidensdruck (Depression)
  • Statistische Verkürzung der Lebensdauer um 10 Jahre

Was unsere Patienten sagennach der Therapie

„Ich bin jetzt wieder fit, keine Müdigkeit mehr, keine Depressionen, ich kann endlich wieder durchschlafen.“
D. A.

„Nach der OP benötige ich kein CPAP-Gerät mehr und fühle mich wie ein neuer Mensch! Auch meine Tagesmüdigkeit ist verschwunden.“
K. I.

„Meine Lebensqualität hat sich nach der OP extrem verbessert. Ich bin wieder glücklich.
S. J.

„Die komplette Behandlung verlief sehr gut. Dr. Dr. Kater und sein Team wissen was sie tun! Er hat mir meine Lebensfreude wiedergegeben. Ich kann nur DANKE sagen.“
V. D.

Patienten Beispielevor und nach der Operation

Vor der Operation
Nach der Operation
CPAP Maske vor der Operation

Unterschiedliche Formen der Schlafapnoe

Das Schlafapnoe-Syndrom wird in eine obstruktive, zentrale und gemischtförmige Schlafapnoe unterschieden. Meistens handelt es sich um eine obstruktive Schlafapnoe. Unter einer zentralen Schlafapnoe leiden nur wenige Patienten. Noch seltener ist die Prävalenz der gemischtförmigen Schlafapnoe. Hierbei leiden die Patienten sowohl unter einer zentralen als auch unter einer obstruktiven Schlafapnoe.

Der Schweregrad des obstruktiven Schlafapnoe-Syndroms wird anhand der Häufigkeit der nächtlichen Atemaussetzer bestimmt.

Deshalb werden in einem Schlaflabor zur Diagnosestellung die Anzahl der Atemaussetzer (Apnoen) und die Zeit mit vermindertem Atemfluss (Hypopnoen) pro Schlafstunde dokumentiert.

Somit kann der sogenannte Apnoe-Hypopnoe-Index (AHI) ermittelt werden, mit Hilfe dessen das obstruktive Schlafapnoe-Syndrom in drei Schweregrade unterteilt wird:

Schweregrad 1 Über 5 bis 15 Atemaussetzer pro Stunde entspricht einem leichten OSAS (AHI 5-15)
Schweregrad 2 15 bis 30 Atemaussetzer pro Stunde entspricht einem mittleren OSAS (AHI 15-30)
Schweregrad 3 Über 30 Atemaussetzer pro Stunde entspricht einem schweren OSAS (AHI > 30)

Begünstigende Faktoren sind

  • Rauchen
  • Alkoholkonsum
  • Übergewicht
  • Bluthochdruck
  • Diabetes
  • Herz-Kreislauf-Erkrankungen
  • Alter
  • Ethnische Herkunft
  • Geschlecht

Ursachen der Schlafapnoe

Die Rücklage eines oder beider Kiefer führt immer dazu, dass die oberen Atemwege eingeengt werden.

Bei einer Unterkieferrücklage - ursächlich durch ein unzureichendes Wachstum des Unterkiefers nach vorne - ist meistens der posteroir airway space (PAS), also der hintere Luftbereich im Rachen, reduziert. Oft leiden die Patienten an Übergewicht, was das Schnarchen noch verstärkt. Ein nach hinten fliehendes, kleines Kinn und ein Doppelkinn sind weitere Anzeichen, die in der Profilansicht einfach festgestellt werden können.

Hierbei liegt auch die Zunge und der Zungengrund im gleichen Maße zu weit hinten. Dadurch kann eine Behinderung der hinteren Atemwege vorliegen, wenn beim Schlafen die Muskulatur und auch die Zunge relaxiert und entspannt sind, wobei es zu einer vollständigen Behinderung der Atemwege - einer sogenannten Obstruktion – kommt, was also als OSAS (obstruktives Schlafapnoe-Syndrom) beschrieben wird.

Bei einer Oberkieferrücklage liegt meist das Gaumenzäpfchen zu weit im Rachen. Ebenso bildet der Gaumen den Boden der Nase, sodass Fehlstellungen des Oberkiefers deshalb oft mit einer eingeschränkten Nasenatmung verbunden sind. Betroffene atmen vermehrt durch den Mund und schnarchen aus diesem Grund häufig. Weitere häufige Probleme infolge der Mundatmung sind chronische Mandelentzündungen (Tonsillitis) und – weil die Nase als natürlicher Filter der Atemluft ausfällt – Allergien bis hin zu Asthma.

Das obstruktive Schlafapnoe-Syndrom betrifft mehr als 936 Millionen Menschen weltweit.4 In Deutschland allein leiden etwa 26 Millionen Menschen unter dem obstruktiven Schlafapnoe-Syndrom, wobei 35 % der Männer und 20 % der Frauen betroffen sind. Eine Diagnosestellung des OSAS gestaltet sich oft schwierig, da die Betroffenen diese nächtlichen Aufwachreaktionen nicht bemerken und lediglich unter starker unerklärlicher Tagesmüdigkeit leiden. Erfahrungsgemäß nehmen jedoch die Lebenspartner nicht nur das typisch starke Schnarchen, sondern auch die gefährlichen Atemaussetzer wahr.

Trotzdem werden lautes Schnarchen und Atemaussetzer meistens nicht oder erst relativ spät mit der lebensbedrohenden Schlafapnoe assoziiert und somit weder bemerkt noch behandelt. Rückenschläfer sind dabei am häufigsten betroffen.

Die Lebenserwartung der Patienten ist jedoch durch kardiovaskuläre (Herz- und Kreislaufsystem) Folgen, wie einer sekundären Hypertonie (Bluthochdruck), Schlaganfall, Herzinfarkt oder Diabetes (Typ 2) eingeschränkt.

Dies kann jedoch bei einigen Ursachen des OSAS bis zu einem gewissen Grad durch konsequente Gewichtsreduktion und nächtliche Überdruckbeatmungstherapie (nCPAP = nasal continuous positive airway pressure) normalisiert werden. Der Therapieerfolg dieser konservativen Maßnahmen bedarf einer hohen Mitarbeit bzw. Kooperation mit regelmäßiger Therapieüberwachung durch Schlafuntersuchungen. Allerdings stellt die CPAP-Therapie eine reine Behandlung der Symptome und nicht der eigentlichen Ursache des OSAS dar.

Des Weiteren liegt die langfristige Compliance der CPAP-Behandlungen bei nur 60 %. Deshalb können nur durch eine operative Verlagerung des Ober- und Unterkiefers nach der counterclockwise-rotation-advancement Methode die Ursachen – sprich Verengungen der oberen Atemwege infolge der Rücklage eines oder beider Kiefer – behoben werden.

Die Symptome sinken oder verschwinden nach dem Eingriff in der Regel vollständig, wodurch die Betroffenen wieder erholsam durchschlafen können. Die Lebenspartner werden darüber hinaus nicht mehr durch das Schnarchen des jeweiligen anderen gestört.

Vorteile der OP gegenüber der CPAP Therapie

1 Unabhängigkeit
von einer CPAP-
Atemmaske
2 Verbesserung der
Luftzufuhr auch im
Wachzustand
3 Verzicht von
Zahnschienen
4 Verbesserung der
Gesichtsästhetik
5 Reduktion des
kardiovaskuläres
Risikos auf das
Normalniveau
6 Reduktion des
Tinnitus

Empfehlung der S3-Leitlinie

Laut der aktuellen S3-Leitlinie „Schlafbezogene Atmungsstörungen“ der deutschen Gesellschaft für Schlafforschung und Schlafmedizin (DGSM) soll bei einem entsprechenden anatomischen Befund der oberen Atemwege wie:

  • Mikrogenie (kleiner Unterkiefer),
  • mandibulärer Retrognathie (Rücklage des Unterkiefers in Relation
    zur vorderen Schädelbasis)
  • engen sagittalen Gesichtsschädelaufbau (Zungengrund-Rachen-
    hintergrund-Abstand, posterior airway space PAS,< 10 mm im
    Fernröntgenbild FRS),
  • jedoch auch bei normognathen Patienten

eine Vorverlagerung des Ober- und/oder Unterkiefers (bimaxilläres Advancement bzw. maxillo-mandibuläres Advancement) erwogen werden. Insbesondere dann, wenn eine andere Therapie (CPAP, UPS) nicht möglich ist bzw. diese nicht ausreichend toleriert wird, stellt somit ein maxillo-mandibuläres Advancement eine hocheffektive Therapie zur Behandlung der OSAS dar. Dabei wird laut der deutschen Gesellschaft für Schlafforschung und Schlafmedizin eine Vorverlagerung um 10 mm als erforderlich betrachtet.

Laut Studien wird eine deutliche Besserung des AHI um 86 % angegeben, ein AHI < 5 wird in 43,2% erreicht. Selbst nach 2 Jahren war der Therapieeffekt unverändert vorhanden. Über 90 % der Patienten stuften die ästhetischen Auswirkungen als positiv oder neutral ein.

Schlafapnoe Schlafapnoe

Diagnosestellung

Sollten Sie Symptome wie morgendliche Kopfschmerzen, Tagesmüdigkeit, lautes Schnarchen, Vergesslichkeit oder Depressionen bemerken, besteht der Verdacht auf das OSAS. Um schwerwiegende Folgeerkrankungen zu vermeiden und nicht erst entstehen zu lassen, ist es wichtig die Erkrankung schnell behandeln zu lassen.

Zu Beginn jeder Behandlung steht die richtige Diagnosestellung, weshalb zunächst Ihre Anamnese erfasst und Ihre Lebenspartner befragt werden. Anschließend werden Informationen zum Schlafverhalten und relevante Schlafgewohnheiten eingeholt.

Zunächst erfolgt ein Screening mittels eines ambulanten Schlafmonitorings mit einem mobilem Gerät. Falls der Screeningtest positiv ausfällt, erfolgt eine Polysomnografie im Schlaflabor.

Letztlich lässt sich nun der Schweregrad der Apnoe an der Anzahl und Dauer der Atemaussetzer durch den AHI ermitteln. Die Erkrankung ist umso stärker ausgeprägt, je höher der AHI liegt.

Zusammenstellung der Operationsmethoden für das OSAS

1 Uvulopalatopharyngo-
plastik (UPPP

Hierbei werden Engpässe im Nasen-Rachen-Bereich durch die Entfernung von Gewebe am Gaumen und einer Straffung des gegebenenfalls störenden Gaumenzäpfchens beseitigt.

2 Multi-Level
Chirurgie

Bei diesem Verfahren werden verschiedene Operationsmethoden auf velarer und lingualer Ebene kombiniert (u.a. UPPP, Tonsillektomie, Hyoidsuspension, Radiofrequenzchirurgie des Zungengrundes).

3 Nasenscheidewand /
Polypen

Begradigung der Nasenscheidewand oder die Entfernung von Polypen.

4 Counterclockwise-Rotation-
Advancement Methode

Die operative Verlagerung des Ober- und Unterkiefers nach der counterclockwise-rotation-advancement Methode, bei der die Kiefer gegen den Uhrzeigersinn nach vorne verlagert und dabei auch rotiert werden, stellt die wirksamste und erfolgversprechendste Therapie dar.

Symptome OSAS & CMD im Vergleich

Schlafapnoe

OSAS | Obstruktive Schlafapnoe

  • Schnarchen
  • Atemaussetzer
  • Sekundenschlaf
  • Kopfschmerzen
  • Tagesmüdigkeit
  • Vergesslichkeit
  • Konzentrationsmangel
  • Energielosigkeit
  • Müdigkeit
  • Stimmungsschwankungen
  • Depressionen
  • Libidoverlust, Impotenz, Lustlosigkeit
  • Nächtlicher Harndrang
  • Unruhiger Schlaf
  • Nachtschweiß
  • Trockener Mund beim Aufwachen
Schlafapnoe

CMD | Craniomandibuläre Dysfunktion

  • Nackenschmerzen und -verspannungen
  • Schulter- und Rückenschmerzen
  • Schwindelattacken
  • Kopfschmerzen
  • Tinnitus
  • Knackgeräusche am Kiefergelenk
  • Lockere oder abgeschliffene Zähne
  • Zahnschmerzen
  • Schmerzen im Kiefergelenk
  • Überempfindliche Zähne
  • Schluckbeschwerden
  • Stimmveränderungen
  • Unklare Gesichtsschmerzen, vor allem verspannte Wangen
  • Sehstörungen
  • Eingeschränkte Mundöffnung
  • Taubheitsgefühle in den Armen und Fingern

OSAS betrifft5

Schlafapnoe 35% Männer
Schlafapnoe 20% Frauen

Behandlung der Schlafapnoe
Counterclockwise-Rotation-Advancement-Methode

Durch die Vorverlagerung der Kiefer wird der Rachenbereich erweitert und die Atmung dadurch deutlich verbessert. Ist die Atmungsbehinderung durch einen zu schmalen Oberkiefer bedingt, kann eine Gaumennahterweiterung Abhilfe schaffen.

Mehr Informationen zur Gaumennahterweiterung

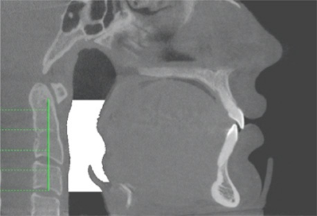
1. Vor der Operation – Verengte obere Atemwege

Schlafapnoe
Schlafapnoe

2. Operation – Kieferverlagerung mit Rotation

Schlafapnoe
Schlafapnoe
Schlafapnoe

3. Nach der Operation – Offene Atemwege

Offene Atemwege nach der Vorverlagerung der Kiefer nach der Counterclockwise-Rotation-Advancement-Methode (Rotation gegen den Uhrzeigersinn)

Schlafapnoe
Schlafapnoe

Unsere Behandlungsmethode

Drei Probleme Eine Operation

OSAS

  • Schnarchen
  • Atemaussetzer
  • Leistungsabfall

CMD

  • Kopfschmerzen
  • Kiefergelenkprobleme
  • Tinnitus
  • Hörsturz

Ästhetisches Defizit

  • Rücklage von Oberkiefer
  • Rücklage von Unterkiefer
  • Rücklage von Kinn

Counterclockwise-Rotation-Advancement-Methode in minimal-invasiver OP-Technik

  • Klinikaufenthalt von 3 Tagen
  • Neue Lebensqualität
  • Nachhaltiges Ergebnis
Schlafapnoe Schlafapnoe

Counterclockwise-Rotation-
Advancement-Methode

Unsere Behandlungsmethode basiert auf einer Rotation des Ober- und Unterkiefers gegen den Uhrzeigensinn (counterclockwise-rotation-advancement). Wichtig hierbei ist die Beibehaltung der Okklusion, ML, Zahnstellung und optimaler Kiefergelenksposition.

Durch diese spezielle Art der Verlagerung des Ober- und Unterkiefers öffnen sich die Atemwege viel weiter, sodass diese nicht nur in vertikaler, sondern auch in horizontaler Richtung massiv erweitert werden und Distanzen von 20 mm oder sogar mehr ermöglicht werden können. Dabei achten wir akribisch auf eine Harmonisierung von Funktion und Ästhetik.

Vorteile der
Methode

Durch die Kombination aus Rotation und Vorverlagerung des Ober- und Unterkiefers müssen diese nicht unnatürlich weit nach vorne versetzt werden, wodurch eine Harmonisierung von Form und Funktion ermöglicht wird. Es entsteht überdies eine deutlich größere Erweiterung des Zungengrund-Rachenhintergrund-Abstands (PAS) - also der oberen Atemwege im Bereich des Pharynx – was bei einer reinen Vorverlagerung (Advancement-Methode) beider Kiefer nicht erfolgt. Mit Hilfe der counterclockwise-rotation-advancement-Methode ist es uns ebenfalls möglich ausgezeichnete Ergebnisse bei Syndrompatienten (v.a. Erkrankungen mit unzureichendem Wachstum oder Wachstumsstörungen eines Kiefers, beider Kiefer oder der Kiefergelenke) zu erzielen.

Sprechen Sie uns an

Im Zuge eines persönlichen Beratungsgespräches beraten wir Sie gerne über eine chirurgische Behandlung des OSAS, die jeweiligen Behandlungschancen, Risiken und erläutern Ihnen alle weiteren wichtigen Aspekte und Vorteile unserer Behandlung.